naturopathic doctor news & review
About NDNR
Razi Ann Berry and David Tallman, DC, ND, founded NDNR in 2005. For two decades, NDNR has documented, published, and disseminated case-based evidence for naturopathic and integrative practitioners worldwide, advancing clinical knowledge through practitioner-led case reports and peer-reviewed education.
Our archive holds the largest collection of applied natural medicine case reports in existence, documenting real interventions, dosages, and patient outcomes. NDNR publishes The Journal of Applied Natural Medicine, produces live and virtual summits, masterclasses, and multimedia clinical education, and is a NANCEAC-accredited continuing education provider.
NDNR serves NDs, MDs, DOs, DCs, NPs, PAs, PhDs, and allied healthcare professionals.
Razi Ann Berry has received the AANP Champion of Naturopathic Medicine Award, the Mindshare Rising Tide Award, the Mindshare Best Digital Media Award, and Corporation of the Year.
NDNR has been recognized by SCNM, CNDA, OANP, and NYANP, the Foundations Project and Mindshare. Since 2014, NDNR has hosted the annual Physician Choice Awards.
NDNR 20 Years of Publishing
Key milestones from 2005 to today
Custom Publishing
No Results Found
The page you requested could not be found. Try refining your search, or use the navigation above to locate the post.
Featured News
Can We Slow Aging in Patients? Autophagy, Mitophagy, Genetics & Epigenetics
CHRIS D. MELETIS, ND Aging – or more specifically, how to slow it down – is a topic that has fascinated scientists, doctors, and the general population for thousands of years. Yet despite our advancements in medicine and science, we still don’t know for sure...
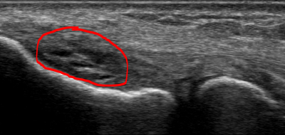
Orthobiologics and Epicondylosis: Tendon Healing Using Microfragmented Adipose Tissue and PRP
TERRANCE MANNING II, ND, RMSK A 53-year-old male presented to the clinic with persistent right lateral elbow pain. The pain onset was insidious, yet this patient had had recurrent symptoms for several years; the most recent episode started 8 months before this...
Self-Compassion, VR, Biofeedback, and Mental Health
Self-compassion can contribute to better mental health. Compassion focused therapy may help those with mental illness self-soothe and better deal with feelings and thoughts in a mindful, balanced way. An article recently published in Behaviour Research and Therapy...
Homeopathy and Chronic Insomnia+
One sleepless night is annoying. For those with persistent insomnia coupled with a comorbidity, such as generalized anxiety disorder, it can be negatively life-altering. In a Cureus case report, a 27-year-old man, suffering from insomnia for over 2 decades, tried...
Mind–Body Interventions for COPD
Chronic obstructive pulmonary disease severely impacts the life of patients. What affect can yoga or tai chi have on those with COPD? A study published in Scientific Reports evaluated mind–body exercises and their impacts on stable COPD patients. Using registers and...
A (Water) Fountain of Youth
Are you and your patients drinking enough water? We all know water is good for us, but did you know proper water intake may play a role in healthy aging? Suboptimal hydration may accelerate aging and increase the risk of chronic diseases and premature death. A study...







